Full-mouth restorations

Full-mouth restorations are complete smile makeovers that focus on improving the health and appearance of the entire mouth. The effects of wear and tear, injury from bruxism (teeth grinding), erosion, and TMJ disorder (TMD) can cause a patient to have a misaligned bite and damaged teeth. A full-mouth restoration resolves these problems.
Who Can Benefit?
Full-mouth restorations can make anyone’s smile better. However, these treatments work best for people who have severely damaged teeth or who have several dental issues that need to be resolved at once.
Full-mouth restorations can address more than just a few missing teeth. They can correct bite alignment issues, as well as poor tooth spacing. Most importantly, the procedures are both cosmetic and restorative.
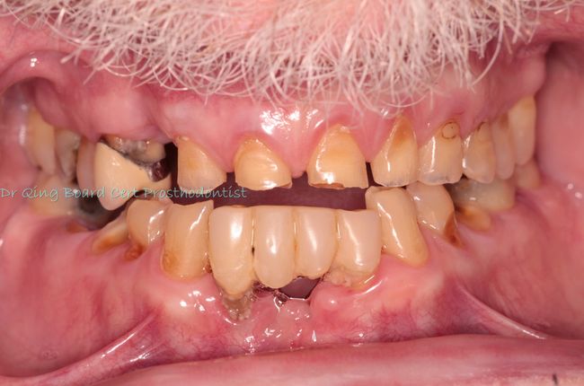
Dr. Qing's actual patients. For more new cases, please follow us on Instagram, or facebook, or visit the blog section of this website.


Dental Bridges
With dental bridges, our dentist can create a full smile without using implants. A dental bridge is a row of replacement teeth that connect between gaps. A dental bridge is usually supported by crowns placed on prepared healthy teeth on either side of the gap left by the missing tooth, but it could also be supported by dental implants, which are permanently attached to the jawbone. A dental bridge can be an effective restoration for patients missing multiple teeth.
Dentures
Traditional dentures are typically held in place by denture adhesive. However, dentures can still shift around in your mouth, especially during eating, speaking, or laughing. And denture adhesive can lose its hold over time.
Dental implants can help. Dental implant-supported dentures are restorations that use dental implants to hold your dentures in place. Your dentures can be secured to a bar or ball attachment on your implants. This attachment can snap on and off with ease, so you can remove your dentures for cleaning or when you want to speak or eat.
Cosmetic Treatments
Full-mouth reconstruction also includes enhancing the beauty of your smile. For this, we resort to treatment options such as teeth whitening, veneers, porcelain crowns, and dental fillings. Some of these procedures serve as restorative treatments as well. In the case of gum disease, we may also remove the decayed tissues and restore them through a gum graft.
How Long Will the Treatment Take?
Your full-mouth restoration will require multiple visits over several weeks. The length of your treatment will depend on the type of restoration you receive, your personal dental needs, and your dentist’s recommendation. The treatment plan is made based on your goals and may include a variety of treatments.
To find out more about the dental services offered at Bucks Dental, call (215)-220-3395 or schedule an online consultation. You can also visit us at 1151 S Broad St, Lansdale, PA 19446.
Office Hours
MON Closed
TUE 8:00 am - 5:00 pm
WED Closed
THU 8:00 am - 5:00 pm
FRI 9:00 am - 6:00 pm
SAT By appointments only.
SUN Closed









