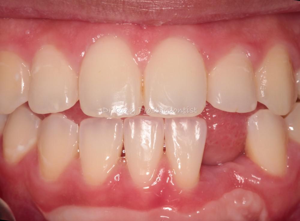
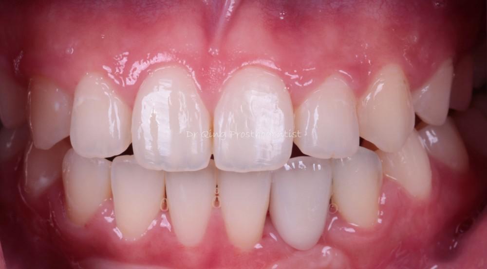
Resin-bonded Fixed Partial Denture--Pros and Cons
College student Ms. W came for congenitally missing a lower front tooth. Periodontist Dr. Brown has seen her first and did gingival graft to increase the keratinized tissue. The congenitally missing tooth usually comes with a very narrow bone, which made the dental implant a very challenging and not-so-predictable procedure.

Resin-bonded fixed partial denture/Maryland bridge used the new design of single-abutment bonding to increase long-term success.

Ms. W decided to whiten her teeth in the future, so we made the crown slightly whiter to blend better with her future whiter smile.

“As a tooth doctor, it rarely needs us to save a life (Occasionally we do), but we can change people’s life by making them function better and smile better.” “ We restore teeth; we restore the ego’----<Clark’s clinical dentistry>

