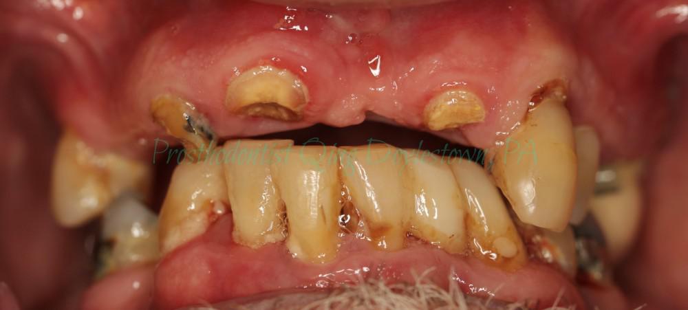
Restore smile , Restore ego ! Patient came with Stage 4 Grade C severe periodontitis.
Front teeth broke and his removable partial denture also broke which needs denture repair.
After an accurate diagnosis, thorough periodontal treatment and save all possibly save able teeth, Prosthodontist Qing team accomplished the challenging case by giving the patient functional and esthetics rehabilitation including upper hopeless teeth extraction, immediate complete denture, lower hopeless teeth extraction, periodontal treatment of the gum disease, guided tissue regeneration, and dental bridges.
All these won’t happen if without the trust and ethical referral from the very caring dentist Dr. Kaczaj at Jenkintown west Ave family dentistry. Thank you!
