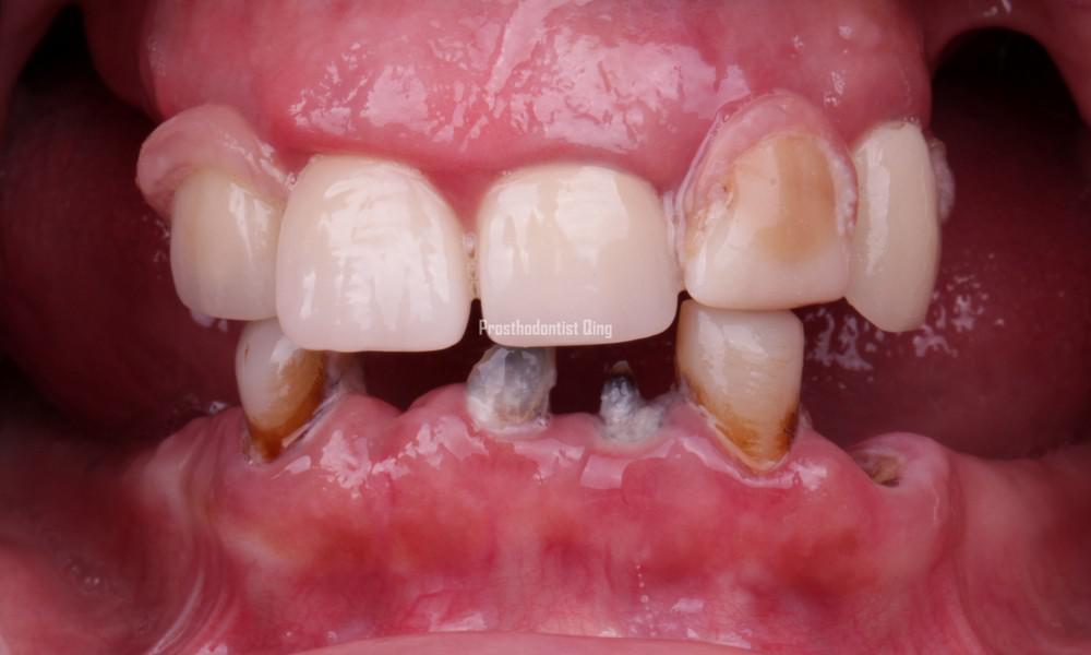
This lovely lady presented with the goal to restore her smile. Unfortunately, the remaining several teeth can no longer be restored or strategically be used for the future reconstructive plan. Extractions were done and on the same visit, we gave the patient the immediate provisional denture. The immediate temporary denture serves the following purposes:
- Protect the extraction sites and help with healing.
- Give patients some degree of function.
- Patients won't be embarrassed without teeth.
- Serve as a test drive for patients to function at new CR and VDO.
- In the dental implant era, this also serves as a test drive and future reference whether patients can adapt to the more economical conventional denture, or will need implants to a) open the palate, b) get more retention or c) get fixed "permanent" teeth.
