This is a sad but motivational post. Chemistry teacher, Stage IV breast cancer with spine metastasis.
She knows the 5-year survival rate of her cancer is very low but she really wants a decent smile and chewing function! So what is best option? What is good enough for her situation?
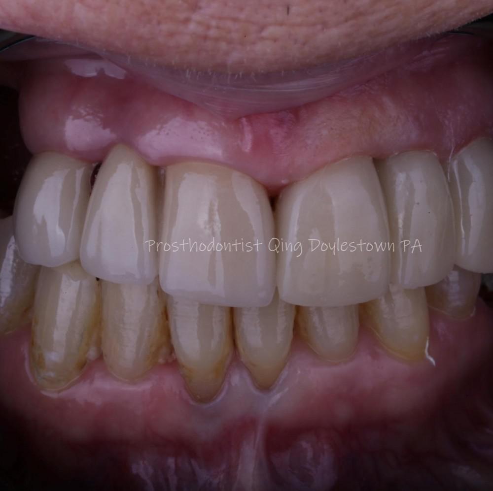
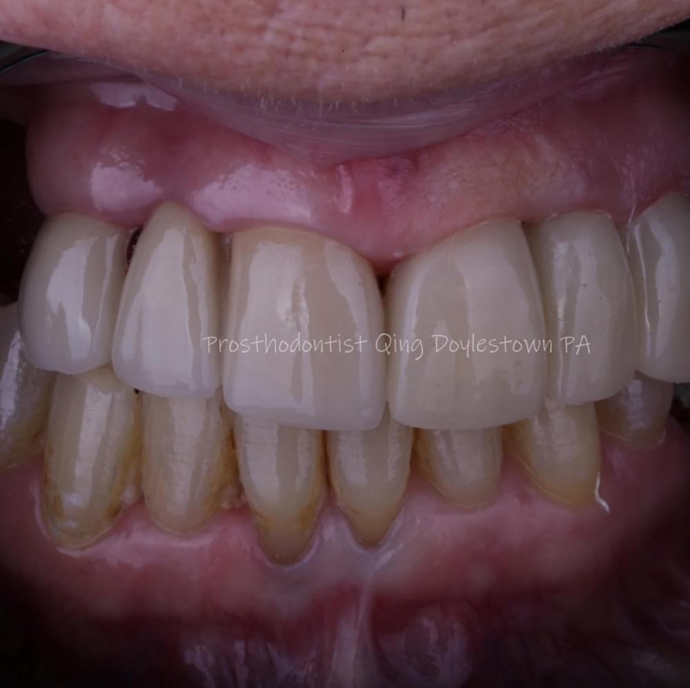
Prosthodontist Qing suggested a more economical option by using long-term provisional crowns with metal reinforcement for 9-12.
Though just temporary crowns, the esthetics match to the right existing zirconia bridge quite well. Occlusion is also designed to give the patient maximal biting surface possible.
The patient is very happy with the result. We hope she can succeed and outlive the temporary bridge and by then we can make her another hopefully definitive bridge!
