The main types of sleep apnea include
- Obstructive sleep apnea, the more common type airway is obstructed during sleeping.
- Central sleep apnea due to brain issue.
- Complex sleep apnea syndrome with both obstructive sleep apnea and central sleep apnea.
The symptoms include loud snoring, breathing stopped during sleep and patients gasp for air, difficulty staying asleep and sharp (insomnia) and excessive daytime sleepiness.
Sleep apnea significantly affects the life quality and increase the risk of accidents due to daytime fatigue, high blood pressure or heart problems, Type 2 Diabetes, and metabolic syndrome.
Mild to medium obstructive sleep apnea can be treated by Prosthodontist and other dental professionals. The treatment modality includes advancing the mandible forward so to open the airway space, orthodontics modifying the airway, and oral surgery.


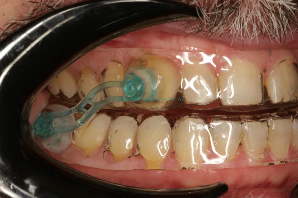
Pictures show the mandible advancing device, which move the lower jaw forward to open the airway during sleep. The main advantage is that 1. effective to treat mild to medium obstructive sleep apnea, 2. no noise compared CPAP machine, 3. small and easy to carry, 4. relatively easier to adapt to, 5. serve as the night guard to protect teeth. Disadvantages included 1. uncertain results in treating severe sleep apnea; 2. Risks of teeth movement, occlusion change and TMD; 3. Requires teeth to anchor the device, so harder for patients with many missing teeth or loose teeth.


Patient's comments " It worked, my snore is much reduced, now it is my wife, she snores more than I do now. She will come to you soon"
Author: Hai Qing, DMD, Ph.D., FACP
Diplomate, American Board of Prosthodontics
Specialist in Prosthodontics and Implantology
Clinical Assistant Professor
Department of Preventive and Restorative Sciences
University of Pennsylvania School of Dental Medicine