At Bucks Dental, we want our patients to have the best of their smiles, which they are confident about. Here is the aesthetic journey of a talented student from Upenn, which is also a recent case that I encountered which was quite difficult.
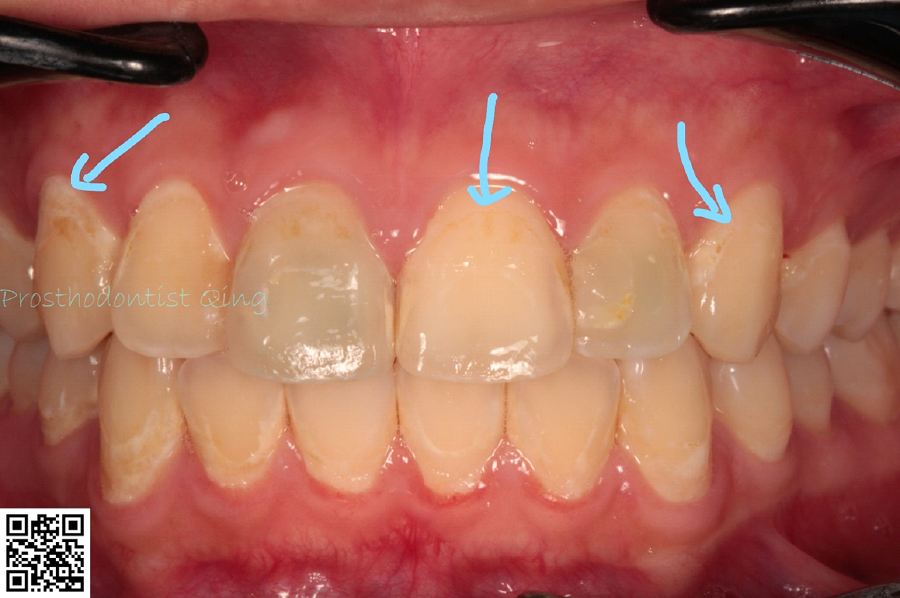
The difficulty lies in the following aspects. The patient's chief complaint is that her front teeth are discolored, and she cannot smile confidently, but in addition to this, there are many white spot lesions caused by demineralization around the orthodontic brackets (as indicated by the arrows in Fig1 and 2). The patient is young, and conservative treatment methods must be used as much as possible. However, it is also a cosmetic problem for a young woman, so compromising is not an option. Have a look at how we approached the case and gave her the smile of her dreams.
What Causes White Spot Lesions And Teeth Discoloration?
Pink or red spots on the enamel are known as white spot lesions, or WSL for short. A patient may suffer from WSL due to demineralization around the patient's orthodontic braces. When the patient wears the braces, plaque and food debris build up in the tiny spaces between the teeth and in the gum line. The bacteria that live in the mouth use sugars in food to create acids that break down the enamel of the teeth and cause demineralization. This process is known as demineralization, and it can cause WSL.
Teeth stains and discoloration can also be caused as a result of external causes like tea, coffee, berries, red wines, soda, and other dark-colored foods and beverages.




Our Treatment Plan
Teeth Whitening Treatment
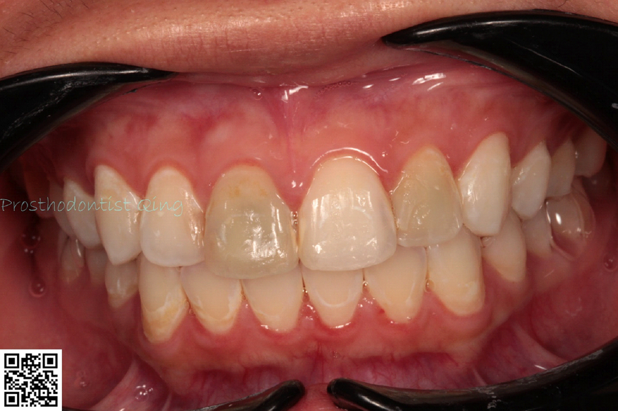
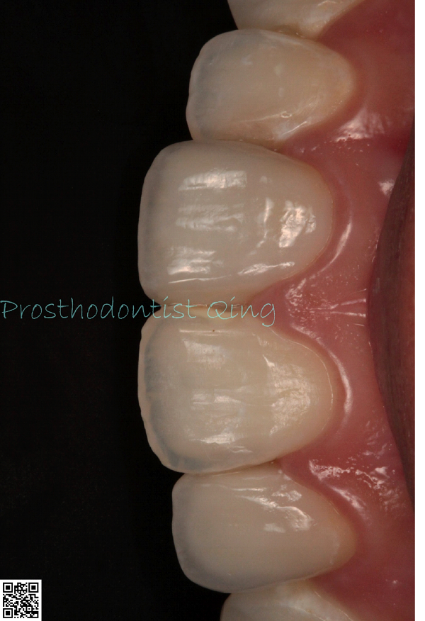
After careful consideration and design, we first treated the white spot lesions with a teeth whitening treatment, and the WSL on the front teeth has clearly improved. Professional teeth whitening refers to a procedure where a whitening agent is applied to the teeth and activated with a special light or laser. The whitening agent removes stains and discolorations from the surface of the tooth enamel, as well as from deeper within the dentin layer. Whitening agents can be tailored according to the needs of the patient, so the color of the patient's teeth can be adjusted based on the type of staining present.
Aesthetic Crowns
Once the patient's teeth color is improved, we used just two aesthetic crowns #8 and #10, to restore the anatomical shape of their teeth as much as possible. In aesthetic crowns, we place composite resin or porcelain material on the affected teeth. These teeth-like caps restore dental abnormalities while matching the natural tooth color. Aesthetic crowns work best for teeth with mild to moderate imperfections. In the end, we helped her gain her confident smile.

To find out more about the dental services offered at Bucks Dental, call (215)-220-3395 or schedule an online consultation. You can also visit us at 1151 S Broad St, Lansdale, PA 19446.
